Archive for September 2021
17.8.21
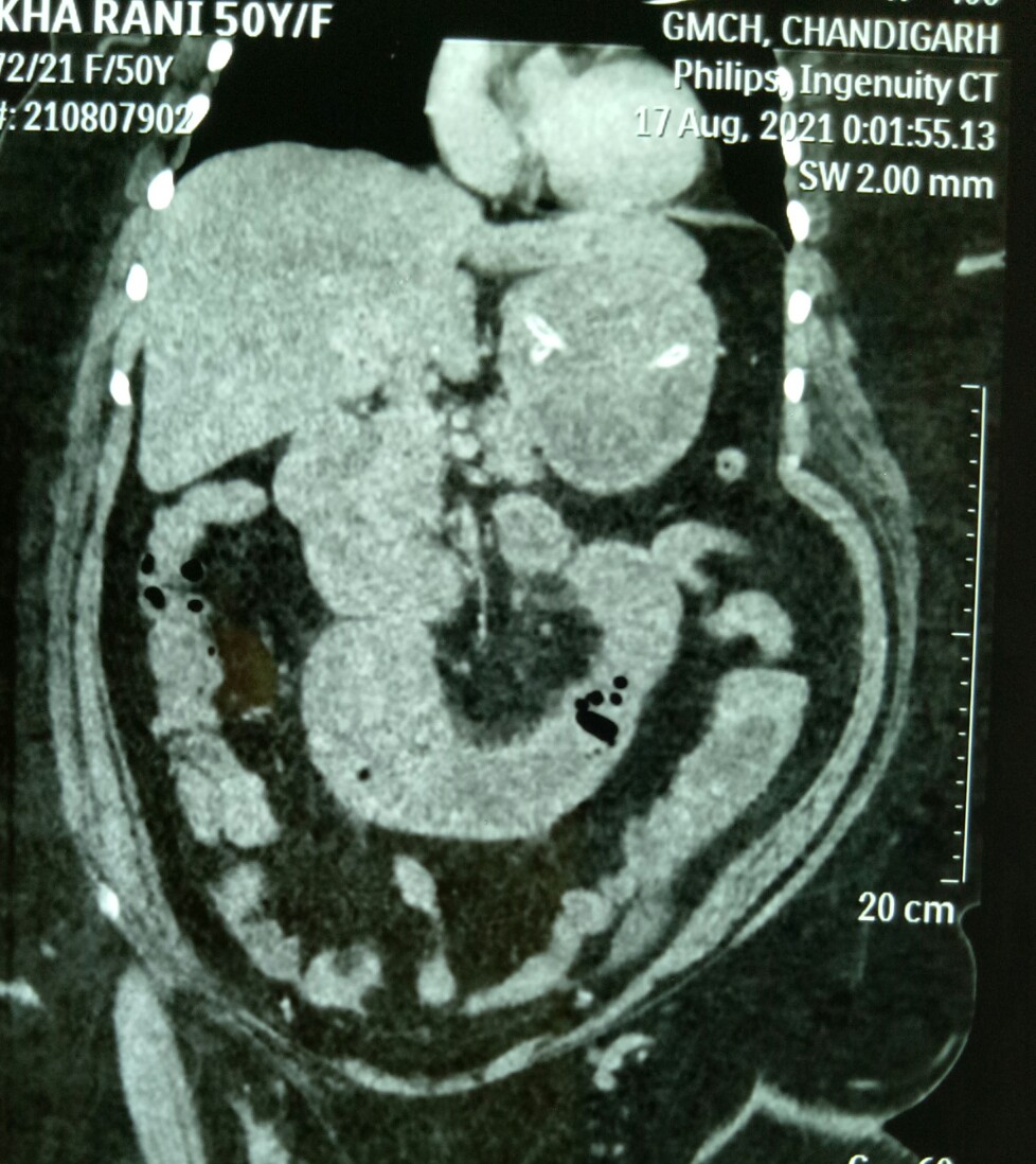
Rekha Rani, 45 years old female, presented with the diagnosis of gastric outlet obstruction (GOO) (on ultrasound!) at Shalley hospital, and was referred to Chandigarh GMCH. There a CT scan showed high SBO (in jejunum), pneumobilia and a stone impacted in proximal jejunum causing the obstruction (Rigler’s triad). At laparotomy, an enterotomy was done to remove the stone and enterotomy closed.

