Archive for July 2018
Disulfiram implants, a big goitre, a bad splenectomy, a jejunal perforation by a trocar, an STS masquerading as an abscess, and a phyllodes tumor
Posted on: July 6, 2018
8.4.17
Excised two chronic abscess cavities that had formed around disulfiram tablets kept subcutaneously in the anterior abdominal wall in a 55 years old man, for his alcoholic addiction. Patient now reformed and normal and wanted removal of the implants which were causing pain.
I had never heard of such a thing as disulfiram implants. The present case had them implanted in Canada.


24.1.18
Cesarean hysterectomy for placenta accreta and percreta in an 40 years old lady with 12 weeks unwanted pregnancy. Very bloody surgery with large blood loss sending patient into hypotension (caused by the prolonged attempts by the attending gynecologist to manually separate the placenta), but fortunately ended well in the end. The D&C which was being discussed too in the management plan earlier by the gynecologist would have been disastrous.
25.1.18
A big vascular goiter in a 45 years old obese female. Right thyroid lobectomy took nearly three hours.

29.1.18
A lap chole was thrust upon me when Shashi Pathak w/o dr Pathak (microbiology) insisted on it even as she actually had no symptoms pertaining to gallstones. Actually turned out to be primarily suffering from depression for which was later treated by psychiatrists.
24.2.18
Splenectomy for shattered traumatised spleen 25 m. Bad and strange experience in the postoperative period when the patient continued to pour out litres of jejunal fluids through the nasogastric tube, and getting into huge water and electrolyte losses and dehydration. Explored on 1.3.18 to find acutely swollen and matted upper jejunal loops which were separated and washed clean. This did not help and another exploration was performed on 3.3.18 to rule out a mechanical factor in the distal loops. There was no such thing and the patient had to be kept on TPN for more than a week before he recovered. Inexplicable to me. Possibly, the poor anesthesia and poor relaxation caused a lot of bruises over the upper small bowel loops when they were covered with packs and retracted with lot of force. Also the abdominal packs given by the nurse were dry (not moist as they should have been). She said she never uses moist packs!
27.2.18
Another bad experience with a big incisional hernia (following pyelolithotomy) in an elderly 70 years old lady, repaired with a large mesh. Postoperatively developed a big seroma that took long time to heal.
5.3.18
Babaji from Dhanthal gurudwara presented with a hernia for which repair was done in Giani Lal Singh hospital.
6.3.18
A trocar perforation of the jejunum had to be repaired when called upon to do so by dr Vikram Tandon who was doing a lap chole.
7.3.18
Surinder bhahiji’s lap chole, went very well. Rinku had come all the way from New York to watch!
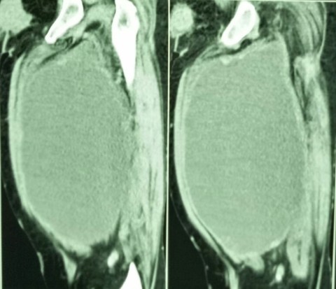
12.3.18
A presumed abscess of the thigh ( huge in size, diagnosed clinically and confirmed on CT scan) drained in an elderly ( 60 years old) female. The fluid was largely serous with lots of flakes. When examined after a month or so, the wound had partially healed but the cavity was filling up with a fleshy growth. Was referred to PGI where a high-grade soft-tissue sarcoma was diagnosed. She died soon after.




16 april to 17 may 2018 visit to America and Canada.
19.6.18
A lap chole for polyp and sludge in the gall bladder.

2.7.18
A big phyllodes tumor in the left breast of a young girl (18 years old) excised.